März'89, in Alaska passiert die größte Öl-Katastrophe in der Geschichte der Vereinigten Staaten. Der Tanker Exxon Valdez läuh auf Grund und verseucht mit 40 Millionen Liter Rohöl den Prince-William-Sund.
Der Verursacher Exxon startet eine Säuberungsaktion, die von einer massiven PR-Kampagne begleitet wird. Mit Hilfe von zwei Milliarden Dollar poliert die Firma ihr Image und einige Strände. Doch das ökologische Gleichgewicht der Unglücksgegend bleibt auf Jahre gestört.

In einer Langzeitstudie zeigt der Film die Gewinner und die Verlierer dieser Katastrophe:

- Die Einwohner der Unglücksgegend, deren Ernährungsgrundlage auf ungewisse Zeit vernichtet ist;
- Bill Allen, der sich mit seiner Reinigungsfirma an dem Unglück gesund gestoßen hat;
- Die Coastguard, als Bundesbehörde zuständig für die Uberwachung der Aufräumarbeiten, und ihre Verflechtung mit der Industrie, die sie kontrollieren soll.
"Das Ölgeschäft diktiert alles, was in diesem Staat passiert" - Dies ist die langjährige Erfahru
Das Stockholm Syndrom der Deutschen muss enden
Das Stockholm Syndrom der Deutschen muss enden
Das Oshtoran-Syndrom für Laien leicht erklärt
Das Oshtoran-Syndrom für Laien leicht erklärt
Putins Killerdelfine, Todesroboter und das YouTube Syndrom | German Rant #1
Putins Killerdelfine, Todesroboter und das YouTube Syndrom | German Rant #1
Das H63D-Syndrom: der eiserne Bruder des kupfernen Morbus Wilson
Das H63D-Syndrom: der eiserne Bruder des kupfernen Morbus Wilson
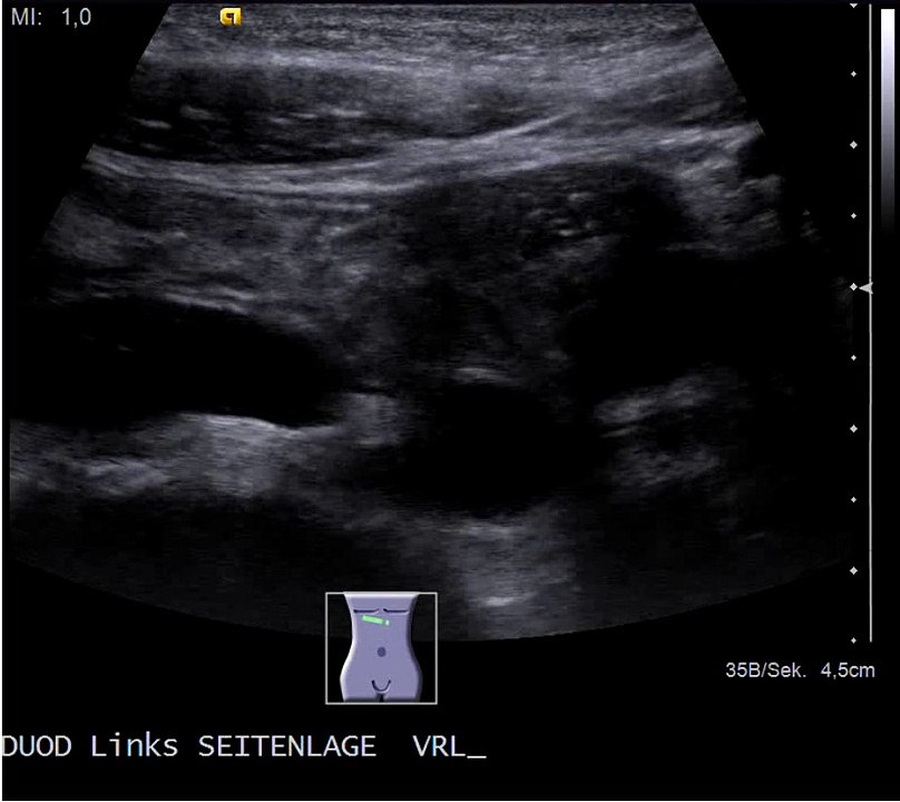
Wilkie Syndrom: Entleerung des Duodenums in Linksseitenlage
Wilkie Syndrom: Entleerung des Duodenums in Linksseitenlage
Fatigue-Syndrom, Durchblutungsstörungen: Wie Menschen unter Impfnebenwirkungen leiden | ZDF
Fatigue-Syndrom, Durchblutungsstörungen: Wie Menschen unter Impfnebenwirkungen leiden | ZDF
Duodenum nach Nahrungsaufnahme bei Wilkie-Syndrom: Widerstandsperistaltik
Duodenum nach Nahrungsaufnahme bei Wilkie-Syndrom: Widerstandsperistaltik
Post Vac Syndrom – wie Betroffene unter den Folgen einer Corona-Impfung leiden | MDR Investigativ
Post Vac Syndrom – wie Betroffene unter den Folgen einer Corona-Impfung leiden | MDR Investigativ
Das Jahr das uns den Frieden nahm
Das Jahr das uns den Frieden nahm
Was ist die Formel für das perfekte Weilnchatsfest | Wissen vor Acht: Mensch | Das Erste
Was ist die Formel für das perfekte Weilnchatsfest | Wissen vor Acht: Mensch | Das Erste
Das ABC Am Anfang ist das A
Das ABC Am Anfang ist das A
Das palästinensische Flüchtlingsmädchen Reem Sahwil, das von Angela Merkel getröstet wurde (Merkel streichelt)
Das palästinensische Flüchtlingsmädchen Reem Sahwil, das von Angela Merkel getröstet wurde (Merkel streichelt)
Das ABC Am Anfang ist das A Konjugation
Das ABC Am Anfang ist das A Konjugation
Das Französisch Passé Composé. Das Verb 'être'
Das Französisch Passé Composé. Das Verb 'être'
Bodo Schiffmann Rede in Heilbronn 'Positiv auf das Freiheitsvirus' 19.07.2020 'Positiv auf das Freiheitsvirus'
Bodo Schiffmann Rede in Heilbronn 'Positiv auf das Freiheitsvirus' 19.07.2020 'Positiv auf das Freiheitsvirus'
Das Geheimnis der Moore | Wissen vor Acht: Natur | Das Erste
Das Geheimnis der Moore | Wissen vor Acht: Natur | Das Erste
Leon Elektronik  -  Das Gesprächsthema, (Wahrheit über das lange Schweigen).  27.10.2021
Leon Elektronik - Das Gesprächsthema, (Wahrheit über das lange Schweigen). 27.10.2021
Warum lässt sich unsere Regierung das von terroristischen Islam / Moslems das alles  so gefallen
Warum lässt sich unsere Regierung das von terroristischen Islam / Moslems das alles so gefallen
Das ist das Leben...?
Das ist das Leben...?
Das Heilige Kreuz - Das Wahre Kreuz - Mfiles 001
Das Heilige Kreuz - Das Wahre Kreuz - Mfiles 001
Das Team von Promo44 erklärt das Erreichen verschiedener Ziele durch E-Mail-Marketing
Das Team von Promo44 erklärt das Erreichen verschiedener Ziele durch E-Mail-Marketing
Nachhilfe ist Vertrauen – Vertrauen ist NoteEins®, das weiß nicht nur unser Partner, das Volkswagen Zentrum Rosenheim
Nachhilfe ist Vertrauen – Vertrauen ist NoteEins®, das weiß nicht nur unser Partner, das Volkswagen Zentrum Rosenheim
042  das ist nicht gott das ist was anderes...
042 das ist nicht gott das ist was anderes...
Das Geheimnis der Pyramiden - Ist das wirklich so?
Das Geheimnis der Pyramiden - Ist das wirklich so?
Das war die DDR - In Fürsorge für das Volk (Teil 4)
Das war die DDR - In Fürsorge für das Volk (Teil 4)
Das Geheimnis um das Loch Ness Monster
Das Geheimnis um das Loch Ness Monster
Das Leben, das ich suchte - Manfred Kadow
Das Leben, das ich suchte - Manfred Kadow
Das Französisch Passé Composé. Das Verb 'avoir'
Das Französisch Passé Composé. Das Verb 'avoir'
Das Armutszeugnis - Das Versagen der UN
Das Armutszeugnis - Das Versagen der UN
Das erste Zeichen, das Jesus gab: eine Warnung
Das erste Zeichen, das Jesus gab: eine Warnung
Das Vitamin, das deine Nerven schützt – und bei Neuropathie helfen kann
Das Vitamin, das deine Nerven schützt – und bei Neuropathie helfen kann
Mayday - Alarm im Cockpit - S12E01 - Steuerlos über Alaska
Mayday - Alarm im Cockpit - S12E01 - Steuerlos über Alaska
Das Plusquamperfekt
Das Plusquamperfekt
Das hilft gegen Bienenstiche
Das hilft gegen Bienenstiche
Das Jahr 1988
Das Jahr 1988
Das Jahr 1995
Das Jahr 1995
Das Jahr 1997
Das Jahr 1997
Das Jahr 2001
Das Jahr 2001
Das Jahr 1962
Das Jahr 1962
Das Jahr 1968
Das Jahr 1968
Das Jahr 1975
Das Jahr 1975
Wir schaffen das
Wir schaffen das
~❤☼ Das Gesetz des Erschaffens ☼ ❤ ~
~❤☼ Das Gesetz des Erschaffens ☼ ❤ ~
Was ist das kgV?
Was ist das kgV?
BROT - DAS TÖDLICHE GIFT!
BROT - DAS TÖDLICHE GIFT!
Das ist F.M.H. Studios
Das ist F.M.H. Studios
Poligpt - Was ist das?
Poligpt - Was ist das?
Das Jahr 1991
Das Jahr 1991
Baltendeutsche - das Deutschtum im Baltikum
Baltendeutsche - das Deutschtum im Baltikum
Das Rätsel der Nazca-Linien
Das Rätsel der Nazca-Linien