» Zwölffingerdarm » Duodenum » Arteria mesenterica superior » Wilkie-Syndrom » Arteria mesenterica superior-Syndrom » AMS
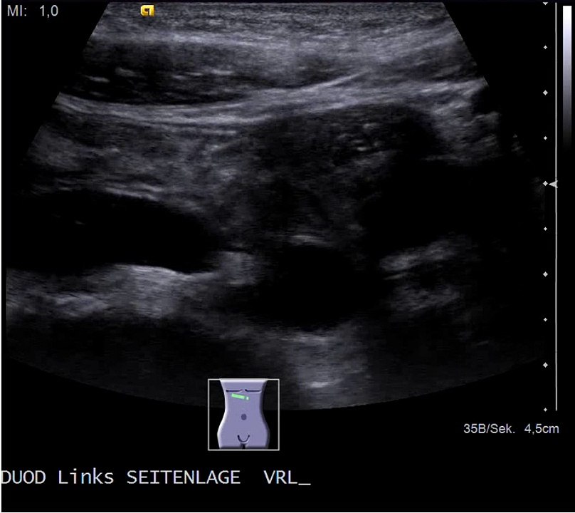
Erweiterter Angangsteil des Zwölffingerdarms (Duodenums) bei Kompression dieses Darmabschnittes durch die darüberliegende obere Darmarterie (Arteria mesenterica superior). Dadurch behinderter Nahrungstransport (Wilkie-Syndrom, Arteria mesenterica superior-Syndrom, AMS)
Erweiterter Angangsteil des Zwölffingerdarms (Duodenums) bei Kompression dieses Darmabschnittes durch die darüberliegende obere Darmarterie (Arteria mesenterica superior). Dadurch behinderter Nahrungstransport (Wilkie-Syndrom, Arteria mesenterica superior-Syndrom, AMS)