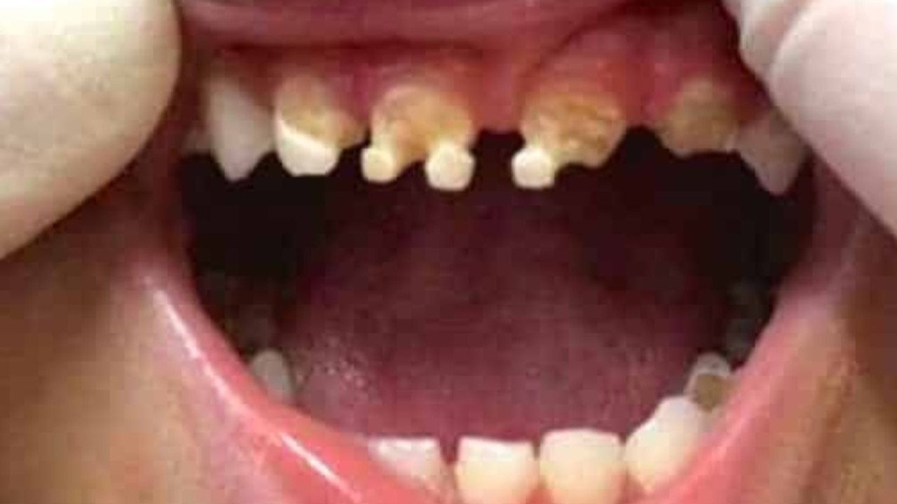
Klingt ausgedacht? Ist es aber nicht: Forscher in Japan testen derzeit ein neues Medikament, das einen dritten Satz Zähne nachwachsen lassen soll. Für Kinder könnte das Arzneimittel bereits 2030 erhältlich sein.

Mehr dazu hier: https://www.news.de/gesundheit/859109201/x
Lass doch ein Abo da, um kein Video zu verpassen!

Hier geht's zu unseren Social-Media-Kanälen:

https://www.facebook.com/News.de/
https://www.instagram.com/newsde
https://www.tiktok.com/@news.de.official
https://www.snapchat.com/@newsdevideo

#news #zähne #zahngesundheit #gesundheit
Bald für Kinder erhältlich: Dieses neue Medikament kann Zähne nachwachsen lassen
Bald für Kinder erhältlich: Dieses neue Medikament kann Zähne nachwachsen lassen
Covid-19: Kann uns dieses Medikament schon jetzt schützen?
Covid-19: Kann uns dieses Medikament schon jetzt schützen?
Dieses Tattoo rettet Leben - man kann es sich kostenlos stechen lassen
Dieses Tattoo rettet Leben - man kann es sich kostenlos stechen lassen
Dieses Baby spielt mit einem sehr geduldigen Hund. Dieses Duo wird Sie dahinschmelzen lassen!
Dieses Baby spielt mit einem sehr geduldigen Hund. Dieses Duo wird Sie dahinschmelzen lassen!
Dieses kleine Mädchen ist erst 2 Monate alt. Doch für dieses Alter kann sie schon die schönsten Dinge sagen.
Dieses kleine Mädchen ist erst 2 Monate alt. Doch für dieses Alter kann sie schon die schönsten Dinge sagen.
Covid-19: Dieses umstrittene Medikament soll gegen das Coronavirus helfen
Covid-19: Dieses umstrittene Medikament soll gegen das Coronavirus helfen
Medikament gegen Alzheimer: Zulassung in Deutschland vielleicht noch dieses Jahr!
Medikament gegen Alzheimer: Zulassung in Deutschland vielleicht noch dieses Jahr!
Loch in der Nase: Junge Frau verliert Geruchssinn, weil sie dieses rezeptfreie Medikament verwendet
Loch in der Nase: Junge Frau verliert Geruchssinn, weil sie dieses rezeptfreie Medikament verwendet
Krebs: Dieses einfache Medikament könnte die Sterblichkeit um 20 % senken
Krebs: Dieses einfache Medikament könnte die Sterblichkeit um 20 % senken
Dieses Kind hat vom Zucker ganz schlechte Zähne bekommen!
Dieses Kind hat vom Zucker ganz schlechte Zähne bekommen!
Diese Liebesgeschichte ist bewegend. Sie zeigt uns, dass nichts auf der Welt dieses Gefühl übertreffen kann.
Diese Liebesgeschichte ist bewegend. Sie zeigt uns, dass nichts auf der Welt dieses Gefühl übertreffen kann.
Neue Erfindung: Dieses Gerät soll Migräne innerhalb von Sekunden verschwinden lassen
Neue Erfindung: Dieses Gerät soll Migräne innerhalb von Sekunden verschwinden lassen
Von Donald Trump gedemütigt: Dieses Familienmitglied will seinen Namen ändern lassen
Von Donald Trump gedemütigt: Dieses Familienmitglied will seinen Namen ändern lassen
Dieses Selfie wird dir das Blut in den Adern gefrieren lassen
Dieses Selfie wird dir das Blut in den Adern gefrieren lassen
Dieses Kätzchen will den Hund um alles in der Welt nicht in Ruhe schlafen lassen
Dieses Kätzchen will den Hund um alles in der Welt nicht in Ruhe schlafen lassen
Von diesen zwei Schoko-Männern musst du dieses Jahr UNBEDINGT die Finger lassen!
Von diesen zwei Schoko-Männern musst du dieses Jahr UNBEDINGT die Finger lassen!
Dieses Kätzchen will den Husky einfach nicht fressen lassen
Dieses Kätzchen will den Husky einfach nicht fressen lassen
Wegen Inflation: Gibt es dieses Angebot für Bier bald nicht mehr?
Wegen Inflation: Gibt es dieses Angebot für Bier bald nicht mehr?
Dieses System wird getestet und wird euch bald erfreuen!
Dieses System wird getestet und wird euch bald erfreuen!
Entsetzen in den USA: Todesstrafe bald für dieses Frauenrecht
Entsetzen in den USA: Todesstrafe bald für dieses Frauenrecht
Dieses Pferd wäre sehr bald an Hunger gestorben. Aber eine Frau hat es bei sich aufgenommen.
Dieses Pferd wäre sehr bald an Hunger gestorben. Aber eine Frau hat es bei sich aufgenommen.
Nach unschönen Kindheitserfahrungen kann sich dieses Orang-Utan-Baby nun endlich artgerecht entfalten
Nach unschönen Kindheitserfahrungen kann sich dieses Orang-Utan-Baby nun endlich artgerecht entfalten
Noch dieses Jahr: Galeria Kaufhof und Karstadt gibt es bald nicht mehr
Noch dieses Jahr: Galeria Kaufhof und Karstadt gibt es bald nicht mehr
Donald Trump : USA bald ein Überwachungsstaat? Dystopie-Alarm wegen dieses Plans
Donald Trump : USA bald ein Überwachungsstaat? Dystopie-Alarm wegen dieses Plans
Dieses Tier kann sogar Haie töten
Dieses Tier kann sogar Haie töten
Cristiano Ronaldos neue Luxus-Villa: Bald ist er Nachbar dieses MMA-Superstars
Cristiano Ronaldos neue Luxus-Villa: Bald ist er Nachbar dieses MMA-Superstars
Wie kann dieses Ding fliegen? Airbus präsentiert den Beluga XL
Wie kann dieses Ding fliegen? Airbus präsentiert den Beluga XL
Esmeralda: Dieses U-Boot kann Päckchen ausliefern und gleichzeitig Plastik einsammeln
Esmeralda: Dieses U-Boot kann Päckchen ausliefern und gleichzeitig Plastik einsammeln
Dieses ökologische Haus kann man in nur 5 Tagen selber zusammenbauen und kostet nur 22.000 Euro!
Dieses ökologische Haus kann man in nur 5 Tagen selber zusammenbauen und kostet nur 22.000 Euro!
Das Gerücht ist wahr: Dieses beliebte Getränk kann euren Corona-Schnelltest verfälschen
Das Gerücht ist wahr: Dieses beliebte Getränk kann euren Corona-Schnelltest verfälschen
Dieses beliebte Lippenprodukt gibt es bald nicht mehr bei dm und Rossmann!
Dieses beliebte Lippenprodukt gibt es bald nicht mehr bei dm und Rossmann!
Auf dieses Frauenrecht könnte in den USA bald die Todesstrafe stehen
Auf dieses Frauenrecht könnte in den USA bald die Todesstrafe stehen
Dieses Orang-Utan-Baby wurde ein Jahr lang in einem Hühnerkäfig gehalten und weiß nicht mal wie er klettern kann
Dieses Orang-Utan-Baby wurde ein Jahr lang in einem Hühnerkäfig gehalten und weiß nicht mal wie er klettern kann
Dieses junge Mädchen ist mit einem tragischen Schicksal belastet... eine Geschichte, die nur allzu leicht einem jeden von uns passieren kann
Dieses junge Mädchen ist mit einem tragischen Schicksal belastet... eine Geschichte, die nur allzu leicht einem jeden von uns passieren kann
Dieses neue Accessoire könnte bald die Zukunft der virtuellen Realität sein
Dieses neue Accessoire könnte bald die Zukunft der virtuellen Realität sein
Dieses wichtige Versprechen hat William seiner Mutter kurz vor ihrem Tod gemacht. Nun hofft er, es bald einzulösen
Dieses wichtige Versprechen hat William seiner Mutter kurz vor ihrem Tod gemacht. Nun hofft er, es bald einzulösen
Anti-Aging, Schmerzmittel & Abnehmhilfe: Dieses Gewürz kann alles
Anti-Aging, Schmerzmittel & Abnehmhilfe: Dieses Gewürz kann alles
Dieses amputierte Pony kann dank dem technischen Fortschritt wieder laufen
Dieses amputierte Pony kann dank dem technischen Fortschritt wieder laufen
Matheproblem: Nicht einmal jeder 10. kann dieses Rätsel lösen!
Matheproblem: Nicht einmal jeder 10. kann dieses Rätsel lösen!
Zucchini, Gurke und Co.: Vorsicht, dieses Gemüse kann giftig sein
Zucchini, Gurke und Co.: Vorsicht, dieses Gemüse kann giftig sein
Zucchini, Gurke und Co.: Vorsicht, dieses Gemüse kann giftig sein
Zucchini, Gurke und Co.: Vorsicht, dieses Gemüse kann giftig sein
Dieses Kätzchen kann ohne sein Kuscheltier nicht einschlafen
Dieses Kätzchen kann ohne sein Kuscheltier nicht einschlafen
Gennady Golovkin kann durch dieses Training mehr Schläge einstecken
Gennady Golovkin kann durch dieses Training mehr Schläge einstecken
Hast du DIESES Video im Netz angesehen und geteilt? Das kann horrende Folgen haben, denn...
Hast du DIESES Video im Netz angesehen und geteilt? Das kann horrende Folgen haben, denn...
Dieses Eichhörnchen ist James Bond würdig. Was es tun kann, ist erstaunlich.
Dieses Eichhörnchen ist James Bond würdig. Was es tun kann, ist erstaunlich.
Dieses kleine Mädchen kann kaum laufen, aber es hat schon Rhythmus im Blut und tanzt!
Dieses kleine Mädchen kann kaum laufen, aber es hat schon Rhythmus im Blut und tanzt!
Dieses beschwipste Eichhörnchen kann sich nicht mehr auf den Beinen halten
Dieses beschwipste Eichhörnchen kann sich nicht mehr auf den Beinen halten
Dieses Symptom kann auf eine Infektion mit der indischen Variante hindeuten
Dieses Symptom kann auf eine Infektion mit der indischen Variante hindeuten
Dieses Utensil kann Wunder bei der Reinigung Ihres Hauses bewirken; VIDEO
Dieses Utensil kann Wunder bei der Reinigung Ihres Hauses bewirken; VIDEO
Dieses Eselchen schmust gern mit der jungen Dame... es kann gar nicht mehr aufhören!
Dieses Eselchen schmust gern mit der jungen Dame... es kann gar nicht mehr aufhören!